Revue
Ils nous étonnentL’intelligence artificielle fait son entrée au CHU de Dijon

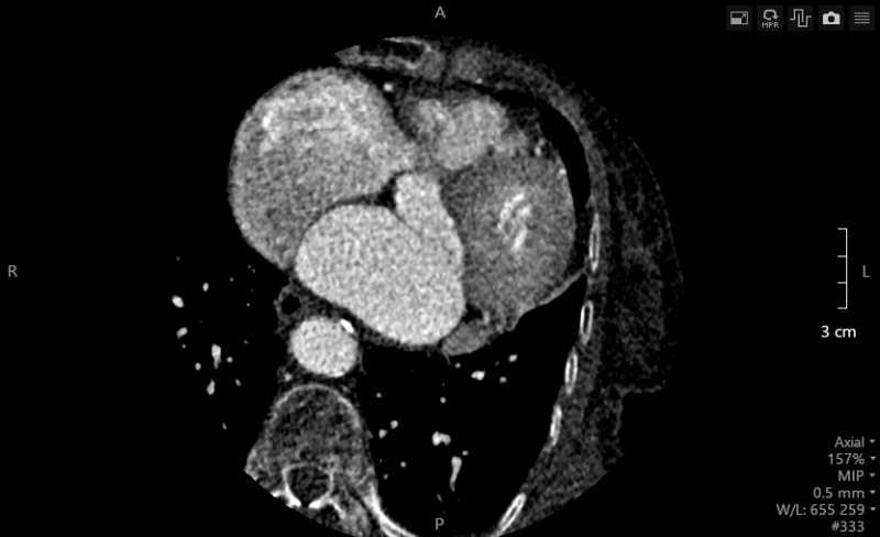
Depuis le mois de janvier 2019, le CHU de Dijon est équipé d’un scanner de haute performance, doté d’une solution de machine learning embarquée. Un outil qui permet une plus grande précision tout en limitant l’exposition des patients aux rayons X.
L’entraînement a duré quatre jours. Quatre-vingt-seize heures intensives à mâcher et remâcher des dizaines de milliers d’examens radiologiques venus du monde entier, à apprendre à les reconnaître. Et finalement, une aptitude incroyable à distinguer les images nécessaires des « parasites » sur les clichés. Depuis le mois de janvier 2019, l’équipe du service des urgences du CHU de Dijon travaille avec ce super assistant médical en imagerie : un scanner équipé d’une technologie de deep learning avancée. Une machine capable de voir plus de 250 niveaux de gris, quand l’œil humain n’en détaille qu’une trentaine, fournissant des radiographies d’une grande précision. « La qualité de l’image s’est significativement améliorée, constate le professeur Frédéric Ricolfi, chef du service de neuro-radiologie et de radiologie des urgences du CHU de Dijon. Les images cliniques ont moins de “bruit”, elles sont plus nettes. Les coupes sont plus fines, avec des doses de rayons X moins importantes pour les patients », poursuit le médecin.
Plus de précision, moins d’irradiation
Car c’est bien là, la problématique de tout radiologue : jusqu’à présent, pour obtenir un cliché le meilleur possible, il fallait augmenter l’exposition, à risque pour le patient. Plus les doses sont importantes, plus l’image est bonne. Un dilemme parfois pour les professionnels de santé, obligés de trouver un compromis. Surentraînée, la machine réussit à fournir un examen très précis avec une irradiation limitée, permettant aux professionnels de santé d’être plus sûrs dans le diagnostic, plus efficaces. Après trois mois d’utilisation, l’équipe du professeur Frédéric Ricolfi, au CHU de Dijon, a ainsi constaté une augmentation d’environ 25 % du rapport signal sur bruit et du rapport contraste sur bruit, synonyme d’une meilleure qualité d’image, et une diminution de la dose de rayons X de 20 % pour l’imagerie corporelle et d’environ 40 % pour les examens cardiaques.
L’intelligence artificielle s’est invitée dans le domaine de la radiologie depuis déjà quelques années. « Elle se développe sur trois niveaux, détaille François Vorms, directeur général de Canon Medical Systems France, qui a mis au point la technologie utilisée au CHU de Dijon. D’abord, il y a le contourage. Cela existe depuis des années, c’est ce qui permet de détecter des zones plus claires dans les images. Puis est apparu la machine learning, ou apprentissage automatique. Ici, la machine apprend par elle-même, grâce à un algorithme. Enfin, est arrivé le deep learning, ou apprentissage profond. Le deep learning, ce sont les réseaux neuronaux profonds de la machine, que l’on va nourrir avec le big data. La machine reçoit une grande quantité d’examens pour s’entraîner à reconnaître les images qui sont nécessaires et celles qu’il faut retirer », explique François Vorms.
La technologie, encore peu répandue dans les établissements de santé, se déploie petit à petit. Dans les semaines qui viennent, le CHU de Nancy sera équipé d’un scanner avec une solution de deep learning encore plus performante, pouvant fournir des coupes encore plus fines. D’autres hôpitaux devraient suivre. « Aujourd’hui, il n’y a plus de médecine sans imagerie », constate François Vorms. Face à la multiplication d’examens, pas toujours utiles, les machines équipées du deep learning pourraient permettre d’éviter les radiologies redondantes et limiter d’autant plus les expositions aux rayons X. « Le temps que nous passons reste le même. Mais je pense que là où les choses vont s’améliorer, c’est que nous pourrons réaliser un seul examen et le bon », confirme le professeur Ricolfi.
Les médecins remplacés ?
Face à des machines toujours plus performantes et toujours plus autonomes, les médecins radiologues seront-ils, dès lors, remplacés ? L’épouvantail est régulièrement agité, aussitôt qu’il est question d’intelligence artificielle. Une crainte infondée, d’après François Vorms : « Il y aura toujours besoin de professionnels à côté des machines. L’intelligence artificielle est un outil qui permet d’optimiser l’organisation et de donner le temps au médecin de se poser avec son patient. » Une vision que partage le professeur Ricolfi : « Il n’y a pas d’inquiétude à avoir ! Les radiologues devront contrôler si ce que dit la machine est juste. La technologie va améliorer le soin. En revanche, ce qui est certain, c’est que la profession va devoir s’adapter, le métier de radiologue va évoluer. »
Les bénéfices du deep learning en imagerie médicale demandent encore à être évalués, tant sur les plans cliniques que médico-économiques. Des études sur ces questions vont être menées au CHU de Dijon.